
Medical imaging allows us to see what’s happening inside your pet’s body so we can diagnose problems accurately and create the best possible treatment plan. At our hospital, we use advanced, digital imaging technology and collaborate with trusted specialists to ensure your pet receives high-quality, comprehensive care.
Request an Appointment
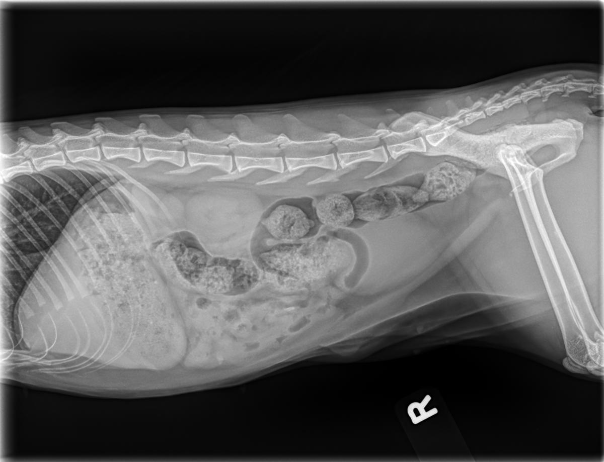
Digital X-Rays
We have two digital X-ray systems: A full-size digital X-ray unit for evaluating the chest, abdomen, bones, and joints. As well as a dedicated dental X-ray unit, which allows us to assess tooth roots and underlying bone (areas that cannot be seen during a routine dental exam).
All X-rays are digital, which means: faster image capture, excellent image quality, immediately available for review and upload to your pet’s medical record, as well as easy sharing with specialists when needed.
When cases require additional expertise, we can consult with a board-certified veterinary radiologist for expert review and interpretation of images.
Ultrasound Imaging
Ultrasound allows us to evaluate internal organs in real time and is especially helpful for assessing the abdomen and heart.
We also utilize a handheld, in-house ultrasound unit for focused, point-of-care ultrasound (POCUS) exams when a quick assessment is needed to guide immediate care.
Comprehensive abdominal ultrasounds and echocardiograms are performed in-house by Dr. Doug Casey, a diplomate of the American Board of Veterinary Practitioners in canine and feline medicine.
We also work closely with a local board-certified veterinary radiologist, for advanced imaging needs including CT scans, urgent ultrasound exams and x-ray interpretation.

